admin

About admin

This author has not yet filled in any details.
So far admin has created 41 blog entries.

Hate flossing? A Water Pik may be for you!

2019-09-24T01:40:22+00:00

Is a Waterpik for you?  Flossing can be tricky, and although a very effective method for removing bacteria, food and plaque from between teeth many people struggle. Water Pik is the high tech alternative. Combined with brushing twice daily and regular hygiene appointment it is the perfect accessory to keep you smiling! [...]

Hate flossing? A Water Pik may be for you!2019-09-24T01:40:22+00:00

Why A Healthy Mouth Is Good For Your Body

2019-09-23T23:18:30+00:00

Oral health isn’t just about nice teeth. Studies have shown links between gum disease and obesity, heart attacks, strokes, diabetes and preterm birth. If you don't already have enough reasons to take good care of your mouth, teeth and gums; the relationship between the health of your mouth and your overall health provides even [...]

Why A Healthy Mouth Is Good For Your Body2019-09-23T23:18:30+00:00

Meet Kendall

2019-09-24T01:41:10+00:00

I'm the new face you'll see at reception as well as helping with sterilization behind the scenes. I'm currently in my second year studying Oral Health ar AUT and love meeting new people. I have a horse named Badger which I enjoy riding in my spare time and like walking on the beach [...]

Meet Kendall2019-09-24T01:41:10+00:00

Southern Cross NZ Easy Claim Provider

2019-09-23T08:36:06+00:00

Southern Cross Health Society Easy-claim (“Easy-claim”) is a convenient way for Southern Cross members to claim for eligible healthcare services at the time of purchase, without completing a claim form. How to use Easy-claim You can use Easy-claim at WM Dental. Simply present your Member card or your app at the counter when you are [...]

Southern Cross NZ Easy Claim Provider2019-09-23T08:36:06+00:00

Happy 22nd Anniversary Jane

2019-09-23T02:24:20+00:00

Jane is a wonderful and prized member of WM Dental. Without her, we wouldn't be the same. She's the oil in our wheels. As another milestone is reached, we asked Jane what the journey has been like for her: 1. When did you start at WM Dental? - March 1995, upstairs at Halls Arcade in [...]

Happy 22nd Anniversary Jane2019-09-23T02:24:20+00:00

Teeth Whitening

2019-09-23T02:20:56+00:00

Domonique, Soon and Morgan often get comments about their white teeth. What is their secret? It's easy! It's teeth whitening. Teeth whitening is a simple way to brighten your smile without damaging your teeth. The teeth whitening gel gently whitens your teeth by breaking up the stains that come from everyday foods and drinks. Come [...]

Teeth Whitening2019-09-23T02:20:56+00:00

Even Superman Needs A Dentist

2019-09-24T01:42:06+00:00

The fastest man in the world has revealed he had painful tooth-ache in one of his teeth during the Rio Olympics. Imagine how fast he could have gone if he wasn't fighting an infection! Before your next big event, whether it be a presentation, wedding, or holiday, make sure a toothache isn't going [...]

Even Superman Needs A Dentist2019-09-24T01:42:06+00:00

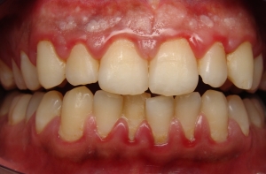
Gum Disease and Obesity

2019-09-24T01:42:30+00:00

Lets talk about our gums! Obesity is a global public health challenge. Recent research has also shown it has links to gum disease! Being obese or overweight you are more likely to have gum disease than those with a healthy BMI. Signs of gum disease : Bleeding gums when brushing; Redness and swelling of [...]

Gum Disease and Obesity2019-09-24T01:42:30+00:00

Meet Kathleen

2019-09-24T01:43:43+00:00

Please allow us to introduce Kathleen, the latest member of our team. She'll be the friendly smile at reception as well as helping us with sterilising and assisting behind the scenes. Kathleen is with us part time as she's completing her oral therapy/hygiene course at AUT. She's also a lifeguard in her spare [...]

Meet Kathleen2019-09-24T01:43:43+00:00