admin

About admin

This author has not yet filled in any details.
So far admin has created 41 blog entries.

Spring Clean Your Smile

2019-09-23T22:07:59+00:00

Spring is upon us and while you're thinking of cleaning the cobwebs from your house, leave a thought for your teeth! A professional dental clean at least twice a year can help prevent gum disease, bleeding gums and smelly breath. Our gentle hygienist Morgan will remove the sticky build up and clean the hard [...]

Spring Clean Your Smile2019-09-23T22:07:59+00:00

Tips For Parents From A Dentist and Mum

2019-09-24T01:43:58+00:00

From Domonique, the Dentist Many parents are surprised to know that tooth decay can start from age 1. Dental decay in young children can cause toothache, pain and infection. Losing a tooth too soon can result in speech disorders, crooked permanent teeth and poor self-esteem. As a dentist I have seen first hand [...]

Tips For Parents From A Dentist and Mum2019-09-24T01:43:58+00:00

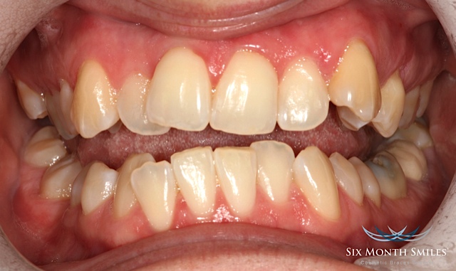
Free Orthodontic Consultations

2019-09-23T10:11:49+00:00

Thinking about straightening your teeth? Worried about those drifting teeth? Are they starting to cross over at the front? Are your gums at risk of gum disease or infection because of your crooked teeth? Traditional metal brackets, Invisalign or Six Month Smiles. We have options to suit you. Here at WM Dental we pride ourselves [...]

Free Orthodontic Consultations2019-09-23T10:11:49+00:00

Sports Mouthguards at WM Dental

2019-09-23T09:54:42+00:00

Do you play hockey, football, basketball, rugby without a mouthguard? A custom made mouthguard from your dentist can help prevent damage to the teeth, jaws and lips, and has shown to decrease the risk of concussions. Basketball NZ has made mouth guards compulsory for all school basketball as of 2016. Over the counter mouth guards from [...]

Sports Mouthguards at WM Dental2019-09-23T09:54:42+00:00

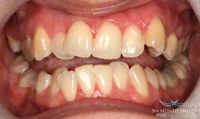
Six Month Smiles

2019-09-23T09:49:17+00:00

Straight Teeth. Less Time. Clear Braces for Adults. Are you concerned about the way your teeth look or function? WM Dental provide the Six Month Smiles Cosmetic Braces System which uses clear braces that gently straighten your teeth in an average time of just 6 months. The system is for adults who are unhappy or [...]

Six Month Smiles2019-09-23T09:49:17+00:00

Domonique & Morgan feature in the North Shore Times

2019-09-23T09:44:43+00:00

Dentist Domonique Joe and Hygienist Morgan Clark feature in the December 1st, 2015 edition of the North Shore Times. We have been volunteering our time visiting local daycares and Primary Schools educating kids and parents that 'Good Dental Health Starts Early.' "A dentist wants to get kids excited about brushing their teeth. Dr [...]

Domonique & Morgan feature in the North Shore Times2019-09-23T09:44:43+00:00

Supporting Our Community

2019-09-23T09:39:12+00:00

Morgan and Domonique are pleased to announce they have received a Community Service Grant courtesy of Wrigleys to help promote oral health amongst Daycare and Primary School Children. The aim is to get the kids excited about their teeth, teaching them the importance of regular brushing, a good diet and how to brush and floss. Each [...]

Supporting Our Community2019-09-23T09:39:12+00:00

Halitosis – Bad breath

2019-09-23T09:28:46+00:00

Halitosis (bad breath), is the unpleasant smell of exhaled air. It's causes can be local or systemic. Common causes of halitosis include: dry mouth, periodontal infections, throat infections, dirty tongue, unclean dentures, renal failure and diabetes. Good oral care, regular dental and dental hygiene visits, stopping smoking, and avoiding certain foods can prevent most [...]

Halitosis – Bad breath2019-09-23T09:28:46+00:00