Project Description
Orthodontics
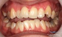
Thinking about straightening your teeth? Worried about those drifting teeth? Are they starting to cross over at the front? Are your gums at risk of gum disease or infection because of your crooked teeth?
Traditional metal brackets, Invisalign or Six Month Smiles. We have options to suit you.
Here at WM Dental we pride ourselves on being able to offer you choice.
Come in for a free consultation to see what we can do for you.
Free orthodontic consultations
Ask any questions you may have.
Quick assessment of your smile, and an opportunity to discuss your options.










